Categories: Agency News

DigiPath: Pioneering the Digital Revolution in Diagnostic Pathology

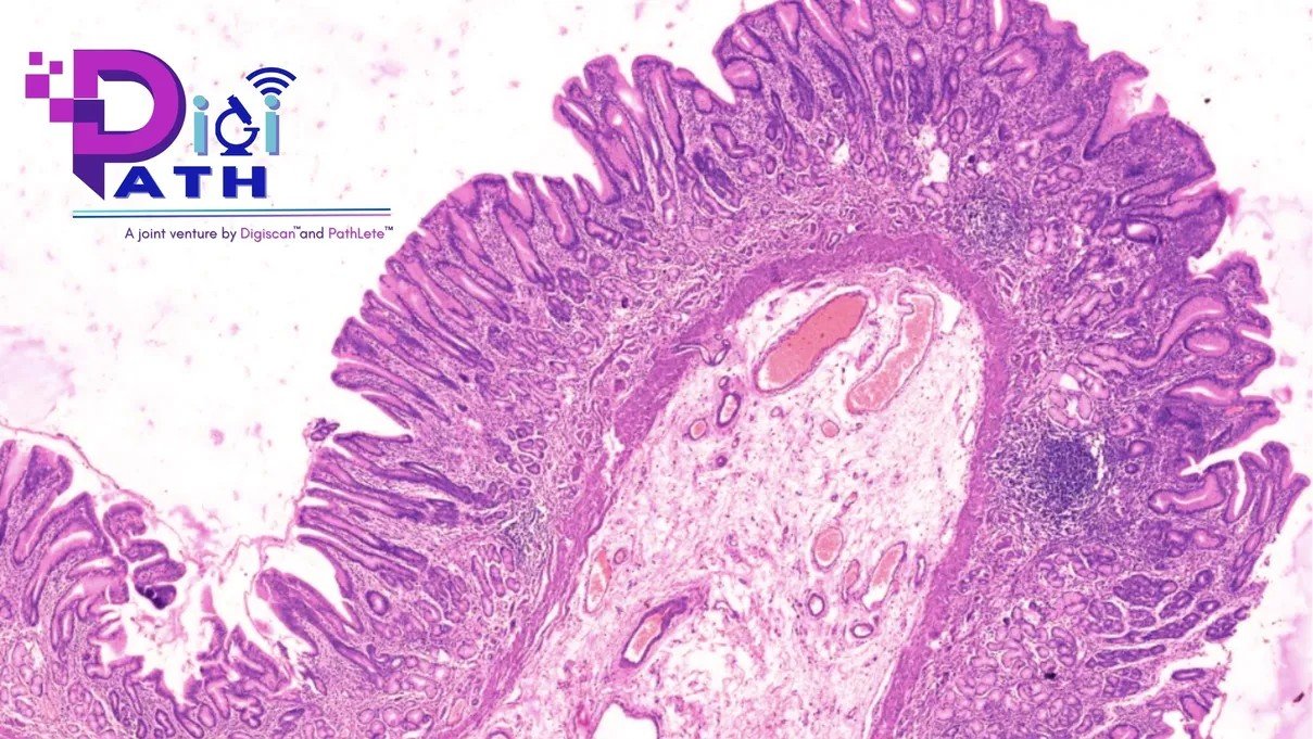
We are excited to unveil DigiPath, a state-of-the-art digital slide library, brought to you by a joint venture between DigiScan™ and PathLete™. This exceptional resource embarks on a transformative journey in diagnostic pathology, epitomizing the confluence of cutting-edge technology with deep-rooted expertise.

DigiPath: Your Portal to Pathological Superiority

Pioneering a digital revolution in the pathology sector, DigiPath emerges as more than just a slide library. For those immersed in the world of pathology, DigiPath’s expansive slide collection serves as an invaluable educational tool. Features include:

Comprehensive Slide Library: Virtually scanned slides with high-resolution images covering a spectrum of lesions across all systems.

Annotations and Labelling: A user-friendly feature that eases the diagnostic process.

Systematic Organization: A structured approach ensuring an optimized learning experience.

Accessible Learning: A one-year subscription offers in-depth knowledge without the constraints of traditional methods.

To mark its debut, DigiPath extends a limited-time offer for early bird subscribers. Immerse yourself in this unparalleled knowledge reservoir at a preferential rate. More details available at DigiPath – Slide Library https://pathlete.org/digipath-slide-library

In association with PathLete and Digiscan, we promise an enriching, enlightening, and extraordinary journey in the domain of pathology. Step into India’s future where global benchmarks in pathology education and innovation harmoniously intertwine.

For inquiries on multi-user or institutional subscriptions, reach out to DigiPath at info@pathlete.digital.

PathLete: Revolutionizing Diagnostic Pathology in India

PathLete undertakes the noble mission of reshaping the landscape of diagnostic pathology in India, blending modern technology with integral laboratory establishment. Here’s what sets PathLete apart:

Cutting-Edge Integration: Embracing the power of AI and Machine Learning to achieve precision and efficiency.

Laboratory Set-Up Guidance: Guiding hands from inception to inauguration.

Business Acumen: Breathing life into labs with potent marketing strategies.

Brand India Focus: Championing Indian enterprises while also welcoming international collaborations.

Quality Assurance: Bask in the wisdom of industry giants, inclusive of distinguished NABL Auditors.

Accredify by PathLete: Demystifying Accreditation

For establishments seeking accreditation or its renewal, Accredify by PathLete is your reliable partner. Offering a suite of services such as:

In-House Expertise: Expert consultations encompassing documentation to Non-Conformity (NC) resolution.

Swift Processes: Experience the efficiency of a two-month audit cycle under the watchful eyes of a dedicated Quality Manager.

Together, DigiPath, PathLete, and Accredify by PathLete chart an unmatched course for those aspiring for unparalleled excellence in diagnostic pathology and laboratory establishment in India. Embrace the vanguard of Indian pathology, where innovation, learning, and accreditation coalesce seamlessly.

For a detailed exploration, visit www.pathlete.org

admin

Recent Posts

Why is a break necessary for life?

The break in life is important for most people. It provides an opportunity for rest…

5 years ago

How to travel to new places safely

There are many ways to safe travel and these tips below will help you get…

5 years ago

Why is vehicle tech needed?

Vehicle technology is on the rise, and it's making roads safer. With this technology, drivers…

5 years ago

Tech pay is the future

Tech pay is the future. It's not always easy to make a living as a…

5 years ago

Why does gadget become addictive?

Some people have a hard time shopping for the perfect gadget. It might be because…

5 years ago

How to automate with tech?

Automation tech is changing the way we work and live. A modern workplace is a…

5 years ago